当院には、内視鏡が導入されています。内視鏡には、様々なメリットがあります。
内視鏡のメリット
動物への負担が少ない
皮膚を切らないので、外科手術のような大きな痛みを伴わない。
体の内側を直接観察できる
他の画像検査では判断が難しくても、消化管の内側を直接見ることで病変に気付けることがある。
組織を直接採取できる
怪しい病変があった場合に、その部分を採取して病理検査に進める。
異物を摘出できる
誤食した異物を、お腹を開かずに摘出できる。
つまり、内視鏡とは『動物に優しい、詳細な検査・治療を行うことができる装置』のことです。
内視鏡の種類
内視鏡にも複数種類あり、それぞれ使用場面が異なります。
- 硬性耳鏡:耳 に有効
- 上部消化管内視鏡:食道/胃/十二指腸 に有効
- 下部消化管内視鏡:肛門/大腸/回腸 に有効
- 気管支鏡:気管/気管支/肺 に有効
症例紹介
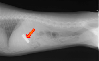
シェルティ(生後9か月、雌)
下痢を主訴に来院。この時に撮影したレントゲン画像が下の二枚です。


矢印で示したものは、金属類の異物だと思われます。
この異物が胃の中に留まっていました。
内視鏡を使って胃の中を観察してみると、やはり異物があったので、これを掴んで摘出しました。

このように、内視鏡はお腹を切らずに異物を摘出することができる優れた装置です。
当院では内視鏡を用いた検査/治療を行うことができますので、お困りであれば来院をお願い致します。
