泡みたいなものを吐き、うずくまっているという主訴で来院した猫ちゃん。院内では震えていて、様子がおかしいので、複数の検査を実施しました。その結果、血液検査で腎臓の数値が高く、レントゲン・エコー検査にて右の腎臓は萎縮、左の腎臓は大きく腫大し、膀胱につながる尿管という管が拡張しており、作られたおしっこが流れていっていないことを疑う結果となりました。
腎臓は左右に1つずつありますが、萎縮している右腎は恐らく以前から機能不全があり、左腎がその腎臓全体としての働きをカバーしていたが、今回左腎が尿管閉塞を起こしたことで急性の腎障害が起きたと考えられます。萎縮した右腎を治すことは困難で、左腎の治療によっておしっこを正常に排出していけるようにしなければ、毒素が体にどんどん溜まり、今回のように嘔吐や神経症状を起こし、やがて亡くなってしまいます。
尿管が閉塞する原因として、結石や腫瘍性のものが疑われますが、ここまでの検査では確実な原因が特定できなかったため、原因を確かめるためには追加でCT検査を行うのが理想です。ただ今回の猫ちゃんは状態が悪く検査までの時間や検査のための麻酔による負担が大きくなってしまう可能性が高いため、応急的に、皮膚から腎臓に入れる、尿を排出させる管(腎瘻チューブ)を設置し、本人の状態を持ち上げる処置が行われました。

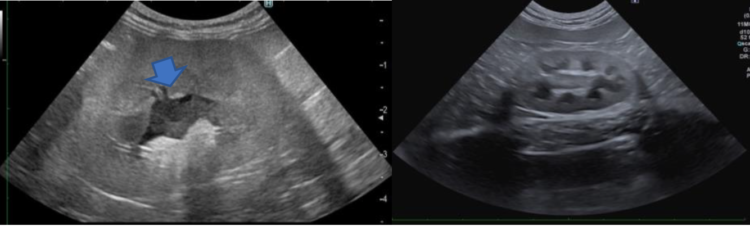
左:腫大し腎盂(青矢印、腎臓の中の尿が通る部分)が拡張した左腎、右:正常な腎臓
その結果、数日で猫ちゃんの元気が麻酔に耐えられる程度に回復してきたため、次に尿管とは別に、腎臓から膀胱への通り道を新たに設置する手術を行います。尿管閉塞の場合、外科的な治療になることが多く、いくつか方法はありますが、今回はSUBシステムというものを用いました。
SUBシステムは、腎臓に設置するカテーテル(1)、膀胱に設置するカテーテル(2)、その2本のカテーテルを連結させるポートという金属の部品(3)で構成されます。
以下、手術中の写真が載っていますので苦手な方はご注意ください。

まず腎臓の中にカテーテルを設置し、抜けないようカテーテルの先が曲がり、生体用接着剤と縫合糸にて固定されます。

次に膀胱へも同様にカテーテルを固定します。

腎臓と膀胱に固定した2本のカテーテルをポートという金属の部品で連結させ、皮下で固定し、お腹を閉じて手術が終了となります。

上の写真は左が手術前の腹部のレントゲン画像です。SUBシステムを設置すると右の写真のように腎臓から膀胱への尿管の代わりとなる道ができます。手術後は、皮膚の上からポートに針を刺せるので、ポートを介して採尿や洗浄が行えます。
どんな手術でも術後の管理は大切になってきますが、SUBシステムは設置後、詰まったり強い感染を起こしたりしないようにポート部分からの定期的な洗浄が必要になり、長期にわたって猫ちゃん・飼い主さん・獣医師一丸となって管理していくものになります。
当院では尿管閉塞に対して、猫ちゃんの状況や飼い主さんの事情を総合的に判断し、SUBシステムやその他の外科手術を提案しています。どの治療が最善となるかはしっかりと話し合って決めていくものになりますので、まずはご相談ください。
