顔や手足の脱毛、フケで来院された子猫ちゃんです。


見た目から真菌(カビ)の感染が疑われたため、ウッド灯検査という特殊な波長の光をあて る検査を行いました。この検査ではカビが感染した毛が青緑色に光ることで診断の補助に なります。

上の写真のように脱毛がある部分で顕著に光る様子が観察されました。

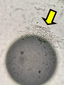
ウッド灯検査で光った毛を抜き、顕微鏡で観察したところ、写真の矢印で示すカビの分節 分生子が確認されました。


上左写真のような特殊な培地で培養すると、数日で上右写真のように白色コロニー(菌の集 落)と赤色の変化がみられました。
これらの結果から皮膚糸状菌というカビの感染が診断されました。
その後、抗真菌薬の塗り薬や飲み薬で、この患者さんの脱毛や痒みは治まりました。免疫 が弱い子猫のうちは、感染しやすく注意が必要な病気です。また、人間にも感染し、皮膚 の痒みや発疹が出ます。おうちの猫ちゃんに脱毛など気になる皮膚症状があれば早めに受 診しましょう。
