先週ブリーダーさんからおうちに迎え入れた子で、かかりつけの動物病院にてワクチン接種の際に心臓の雑音があることを指摘され、詳しい検査のため来院されました。
体調に問題はなく、咳や呼吸困難、成長不良などはありませんでした。
レントゲン検査、超音波検査、血液検査等の結果から、動脈管開存症と診断されました。

動脈管開存症は犬の先天性心血管奇形で最も多くみられる病気です。動脈管とは子犬が母犬のお腹の中にいる間、肺動脈から大動脈への抜け道になっていた血管のことをいいます。生後、肺で呼吸をし始めるとこの抜け道は必要なくなり、自然に閉じるのが普通ですが、この動脈管が閉じることなく残っているものを動脈管開存症と呼びます。

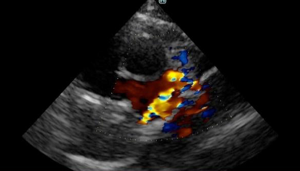
血液の流れる向きや速さを確認する検査にて、肺動脈内に乱流(黄色、緑、オレンジがモザイク状に混ざっている部分)が確認されました。
※以下、術中写真有り。苦手な方はご遠慮ください。
この子は、来院時に明らかな症状はありませんでしたが、無治療で病態が進行すると、早いうちに心不全を発症し亡くなる可能性が高く、手術が行える状態のうちに動脈管の閉鎖手術をする必要があります。
動脈管開存症は根治が望める数少ない心疾患の一つであり、主に外科的手術法が適用されます。
手術法は何種類かありますが、今回は開胸下における動脈管の閉鎖手術を行うことになりました。

左:動脈管(緑線内)を露出したところ。神経を傷つけないように白い糸で牽引しています。
右:結紮糸で動脈管を結紮し閉塞したところ(緑点線内)。
無事に手術は終了しました。

術後の様子。小さな体でよく頑張ってくれました。
定期健診の経過もよく、手術から半年近く経ちますが、元気に過ごしてくれています。
この子のような先天的な病気に限らず、幼いうちは体調を崩してしまうことも多いです。少しでも心配なことがあればいつでもご相談ください。
また、健診だけでも病院に来て慣れてもらうと、将来的にわんちゃん猫ちゃんの病院に来るストレスは軽減されますので、元気なうちから来院されることをおすすめします。
