昨晩から嘔吐をしてぐったりしているという仔犬が来院。
日頃から軟便とのこと。血液検査で低血糖であることがわかりました。
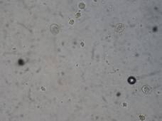
便検査をすると…。

コクシジウム、

糞線虫という寄生虫の感染がわかりました。
このように、寄生虫感染からの消化器症状、
食欲不振による低血糖症状が仔犬には多いです。
仔犬がおうちに来たら、
まずは健康診断と便検査にいらしてください。
昨晩から嘔吐をしてぐったりしているという仔犬が来院。
日頃から軟便とのこと。血液検査で低血糖であることがわかりました。
便検査をすると…。

コクシジウム、

糞線虫という寄生虫の感染がわかりました。
このように、寄生虫感染からの消化器症状、
食欲不振による低血糖症状が仔犬には多いです。
仔犬がおうちに来たら、
まずは健康診断と便検査にいらしてください。