一年以上前から慢性的に外耳炎を繰り返していた。
洗浄を行っても、鼓膜手前の耳垢が除去できずにいた。
耳用の内視鏡(オトスコープ)を使用し、耳道内治療を行った。

治療前の様子。
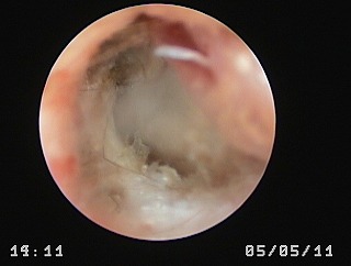
何回かの通院にてかなり改善しているが、鼓膜手前の耳垢は残っている。

治療中の様子。
大部分の耳垢や、鼓膜手前の耳毛が除去されている。

治療終了後。
まだ少し赤みが見られるが、鼓膜周囲の状態は大きく改善。

治療後9日後の様子。
鼓膜周囲の耳垢も全くなし。耳道内の炎症もなく良好。
この後も予防的に洗浄を行っているが、以前のような外耳炎の再発はなく良好である。
